Zubní péče prosince 29, 2025

Co vytahuje zánět zubů a proč bolí přední zuby

Jakub Dvořák 0 Komentáře

Kontrola rizika zánětu zubů

Zkontrolujte, zda máte riziko zánětu zubů

Tento nástroj vám pomůže posoudit riziko zánětu zubů na základě vašich zubních zvyků a příznaků. Znáte-li své riziko, můžete rychlejší a účinnější prevenci.

Zánět zubů není jen nepříjemný pocit - je to signál, že něco v ústech selhává. Pokud bojíte předních zubů, zvlášť když se bolest projevuje při jídle, pítí nebo dokonce při dechu, není to náhoda. Tato bolest často není způsobená jen křehkostí zubu, ale skrytou infekcí, která se šíří z dásní nebo kořene zubu. Co tedy vlastně vytahuje zánět? A proč právě přední zuby?

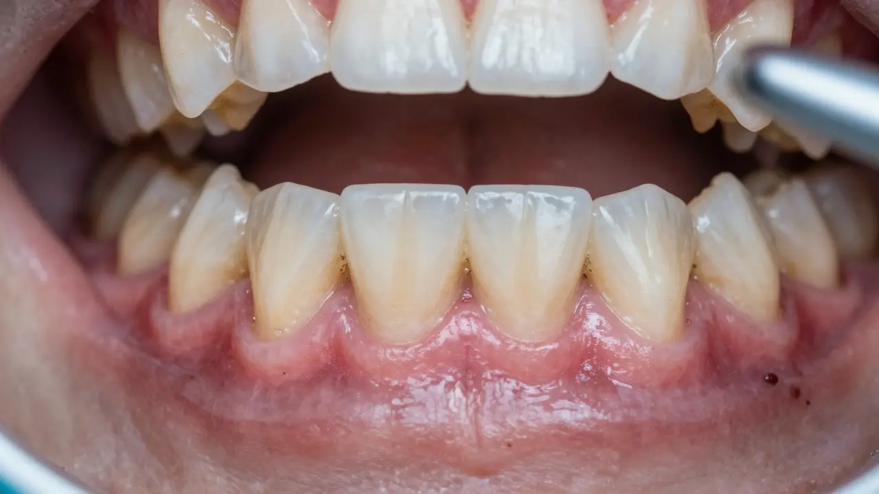
Zubní kámen je nejčastější původce

Nejčastější příčinou zánětu u předních zubů je zubní kámen. Nejde o nějaký „špínu“ na zubech - je to tvrdý, vápenný nános, který vzniká, když se bakterie z plaku neodstraní. Plak je měkký, lepkavý film, který se na zubech tvoří každý den. Pokud jej neodstraníte čištěním a nitkou, začne tvrdnout. Za pár týdnů se promění v kámen, který už neodstraníte běžnou kartáčkem.

Zubní kámen se nejčastěji tvoří u spodních předních zubů, protože tam tekou sliny z slinných žláz, které obsahují vysoké množství vápence. Ten se ukládá na povrchu zubu, kde se k němu přichytávají bakterie. Ty pak vydávají kyseliny, které ničí dásně a vytvářejí dutiny mezi zubem a dásní. To je přesně to, co vytahuje zánět - infekce, která se rozšiřuje do kosti kolem kořene zubu.

Infekce se šíří z dásní do kořene

Když zánět dásní (gingivitida) nepřestane, přechází do pokročilejší fáze - paradontitidy. V této fázi se infekce dostává pod dásňový kraj a začíná ničit vazivové tkáně, které drží zub v kosti. Kořen zubu se začíná uvolňovat, a když se k němu dostanou bakterie, může vzniknout absces - hnisavá kapsle kolem kořene.

Přední zuby mají jednodušší kořenovou strukturu než moláry. Mají jen jeden kořen, který je dlouhý a tenký. To znamená, že když se infekce dostane do kořene, nemá kam utéct. Hnis se tedy sbírá v jednom místě, což způsobuje ostrou, pulsující bolest. Často se bolest projevuje i při lehkém doteku - když se dotknete zubu jazykem nebo když se smějete.

Nečekané příčiny: bruxismus a zubní vady

Ne každý zánět vzniká jen kvůli špatné hygieně. Někdy je příčinou bruxismus - stiskování nebo škrábaní zubů během spánku. Když stále tlačíte zuby na sebe, můžete poškodit zubní sklovinu, i když nevidíte žádné dutiny. Malé trhliny v sklovině umožňují bakteriím proniknout do vnitřních vrstev zubu, kde se mohou rozmnožovat bez kontroly.

Stejně tak může zánět vzniknout kvůli nevhodnému ošetření. Například pokud jste měli před lety plombu na předním zubu, která se začala odlepovat, může se pod ní tvořit plak. Bakterie tam zůstanou, a když se vám dásně zhroutí, začne infekce. Některé lidi si toho nevšimnou, protože bolest není silná - ale postupně se infekce šíří a najednou se objeví ostrá bolest.

Průřez předního zubu s infekcí šířící se do kořene a kosti

Co dělat, když bojíte přední zuby?

Nejprve nezapomeňte: bolest není způsobena tím, že je zub „špatný“. Je to důsledek toho, že tělo reaguje na infekci. Pokud máte bolest předních zubů, nečekejte, až to přejde. Zánět se nevyřeší sám - jen se zhorší.

  • Nejprve se obraťte na zubaře - ne na domácí recepty. Přesně ví, kde je infekce a jak hluboko se rozšířila.
  • Nečistěte zuby agresivně. Těžké štětce nebo příliš silné čištění může poškodit dásně a zhoršit zánět.
  • Neužívejte domácí léky jako káva s solí nebo alkohol. Tyto látky mohou dočasně zmírnit bolest, ale neřeší příčinu a mohou poškodit tkáně.
  • Nečekejte na „dobrý den“. Pokud bolest trvá déle než dva dny, už je to případ pro zubaře.

Co vám zubař udělá?

První krok je vždy rentgen. Bez něj nevíte, jestli je infekce jen u dásně, nebo už se dostala do kořene. Pokud je zánět jen na povrchu, zubař provede profesionální čištění - odstraní zubní kámen a vyčistí dutiny mezi zubem a dásní. To může zánět zcela vymazat.

Pokud je infekce hlubší, bude potřeba léčba kořenového kanálu. Tady zubař otevře zub, odstraní infikovanou pulpu, vyčistí kanál a zaplní ho speciální hmotou. To zabrání dalšímu šíření bakterií. Po této léčbě zub nebo zubní kámen neodstraníte - ale zub zůstane v ústech a nebude bolet.

Pokud je zub příliš poškozený, může být potřeba extrakce. To je poslední možnost. Přední zuby jsou důležité pro vzhled a řeč, takže zubaři se snaží zachovat je i v případě, kdy to vypadá špatně.

Co můžete dělat doma, aby se zánět nevrátil?

Po léčbě je důležité zabránit opakování. Zánět se nevrátí, pokud budete:

  • Čistit zuby dvakrát denně - nejen ráno, ale i večer před spaním.
  • Používat zubní nit - každý večer. Kámen se nejčastěji tvoří mezi zuby, kde kartáček nedosáhne.
  • Pláchnout ústa antiseptickým roztokem - například chlorhexidinem, pokud vám ho zubař doporučí.
  • Navštěvovat zubaře každých 6 měsíců - i když nic nebojíte. Kámen se tvoří rychle - za 3-6 měsíců.
  • Přemýšlet o zubním štětci s měkkými štětinami - tvrdé štětce poškozují dásně a zhoršují zánět.
Symbolický obraz předního zubu s vnitřní infekcí a ničením dásně

Proč přední zuby? Proč ne zadní?

Přední zuby jsou méně chráněny. Mají tenčí sklovinu, menší povrch a jsou častěji vystaveny kyselinám - například z kofeinu, kyselých nápojů nebo kyselého jídla. Když se plak vytvoří, nejprve se usazuje na předních zubech, protože jsou nejvíce viditelné a často se čistí - ale ne dostatečně.

Navíc lidé často přehlížejí přední zuby. Myslí si: „Když to nebojí, když to nevidí, tak to není důležité.“ Ale přední zuby jsou první, které se dotýkají jídla, nápojů a i vašeho jazyka. Když se tam začne infekce, tělo na ni reaguje rychleji - protože jsou blízko nervů a krevních cév.

Když se bolest přestane, znamená to, že je všechno v pořádku?

Nikoli. Pokud se bolest zastaví, znamená to jen to, že nerv v zubu zemřel. To je špatná zpráva. Když nerv zemře, už nešlape na bolest, ale bakterie pokračují. Infekce se šíří do kosti, může se vytvořit cysta nebo hnis, který se může dostat až do nosu nebo do oka.

Bolest je varovný signál. Když zmizí, není to výsledek - je to přechodná pauza. Zánět se nevyřešil. Jen se přesunul do hlubších vrstev.

Nečekejte, až se bolest vrátí. Pokud jste měli bolest předních zubů, i když už nebojíte, dejte si vyšetření. Většina lidí si toho nevšimne, dokud nezačne oteklá tvář nebo hnis z úst.

Závěr: zánět nevytahuje náhoda, vyvádíte ho vy

Zánět zubů nevzniká z ničeho. Vzniká z opakování malých chyb: přeskočeného čištění, nepoužití nitky, nečasné návštěvy zubaře. Přední zuby nejsou „slabé“ - jsou jen nejvíce vystavené. A proto je nejvíce ohrožené.

Nejlepší lék na zánět není lék. Je to pravidelnost. Pravidelné čištění, pravidelné návštěvy zubaře, pravidelná péče. Pokud to děláte, zánět se neobjeví. Pokud ne, přijde - a přijde s bolestí.

Proč bojí přední zuby, když nemám dutinu?

Přední zuby mohou bolet i bez dutiny, protože zánět pochází z dásní nebo kořene. Nejčastější příčinou je zubní kámen, který způsobuje infekci dásní. Bakterie se dostanou pod dásňový kraj a začnou ničit tkáně kolem kořene. Bolest vzniká, když se infekce dostane k nervům, i když povrch zubu vypadá zdravě.

Může zánět zubu způsobit oteklou tvář?

Ano. Pokud se infekce rozšíří z kořene zubu do čelistní kosti, může vytvořit hnisový absces, který se šíří do okolních tkání. To se projevuje oteklou tváří, horkem, bolestí při polykání a dokonce horečkou. Je to nouzový stav - vyžaduje okamžitou léčbu.

Je možné zánět vyléčit jen domácími prostředky?

Ne. Domácí prostředky, jako jsou solné pláchnutí, česnek nebo alkohol, mohou dočasně zmírnit bolest, ale neodstraní infekci. Bakterie zůstanou v kořeni nebo pod dásní a infekce se bude šířit. Bez profesionální léčby zubaře se zánět zhorší a může vést ke ztrátě zubu nebo rozšíření infekce do těla.

Jak často bych měl čistit zuby, abych předešel zánětu?

Čistěte zuby dvakrát denně - ráno a večer - a používejte zubní nit každý večer. Plak se začíná tvořit hned po jídle a za 24 hodin se může proměnit v zubní kámen. Když čistíte pravidelně, nemáte šanci, aby se kámen vytvořil. Většina lidí čistí jen jednou denně - to nestačí.

Je zubní kámen nebezpečný i pro zdravé zuby?

Ano. Zubní kámen není jen estetický problém. Je to aktivní zdroj bakterií, které vydávají kyseliny ničící dásně. I zdravý zub s kámenem na základě může ztratit podporu dásně a začít se uvolňovat. Kámen také ztěžuje čištění, což zvyšuje riziko dalších infekcí.