Zubní péče ledna 9, 2026

Černý zubní kámen: jak ho poznat, proč vzniká a jak ho odstranit

Václav Horák 0 Komentáře

Černý zubní kámen: Rizikový analyzátor

Vypočítejte své riziko

Výsledek

Vaše riziko: Nepočítáno
Vypočítejte své riziko, abyste zjistili, zda jste v rizikové skupině.

Doporučení: Vaše pravidelná ústní hygiena je v pořádku. Pokračujte v pravidelném čištění zubů a používání mezizubního nástroje.

Černý zubní kámen není jen estetický problém. Je to signál, že něco v ústech není v pořádku. Mnoho lidí si ho nejprve všimne na zadních zubech nebo u dásní - tmavá, těžká vrstva, která se neodstraní ani nejlepším zubním kartáčkem. Někteří si myslí, že je to jen špína, ale to není pravda. Černý zubní kámen je výsledkem dlouhodobého zneužívání některých látek a špatné hygieny, a pokud ho necháte beze zpracování, může vést k zánětům dásní, ztrátě zubů a dokonce k infekcím v celém těle.

Co je černý zubní kámen a jak se liší od běžného zubního kamene?

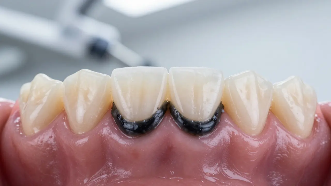
Zubní kámen vzniká, když se zubní plak - ten lepkavý film z bakterií - postupně vápencuje a ztuhne. To se stává během několika týdnů, pokud nečistíte zuby dostatečně. Běžný zubní kámen je obvykle žlutý, šedý nebo bělavý. Černý zubní kámen je jiný. Je tmavý, často černý nebo tmavě hnědý, a většinou se objevuje na jednom konkrétním místě - nejčastěji u spodních řezáků nebo u dásní.

Ten černý odstín nevzniká jen z plaku. Je to výsledek interakce mezi bakteriemi, železem a některými látkami, které piješ nebo jíš. Například černý zubní kámen se často objevuje u lidí, kteří pravidelně piji černý čaj, kávu nebo červené víno. Ale i u těch, kteří užívají železné doplňky stravy nebo léky na anémii. Když se železo v těle spojí s bakteriemi v plaku, vytvoří se černý pigment - ferro-sulfid - který se váže k zubnímu kameni a zatvrdne.

Někdy se černý kámen objeví i u dětí, které piji zvláštní léky nebo mají poruchy trávení, které zvyšují obsah železa ve slinách. To není běžné, ale stává se.

Kde se černý zubní kámen obvykle objevuje?

Nejčastěji ho najdeš na spodních řezácích zubech, přesně tam, kde vychází slinná žláza. To je důležité - sliny obsahují minerály, které pomáhají ztuhovat plak, a pokud tam je navíc železo, kámen se tmaví. Černý kámen se také často tvoří na zubech, které jsou částečně zastíněné - třeba kvůli špatnému zařazení, nebo když máš zubní náhradu nebo korunku, která neumíá správně čistit.

Na horních zubech se černý kámen objevuje mnohem méně často, protože sliny tam nejsou tak koncentrované. Ale pokud piješ hodně kávy nebo čaje a nečistíš zuby po něm, může se objevit i tam - obvykle jako tmavé skvrnky mezi zuby nebo u dásní.

Co způsobuje černý zubní kámen?

Není to jedna věc, ale kombinace několika faktorů:

  • Černý čaj a káva - obsahují tanniny, které se vážou k železu a vytvářejí tmavé sloučeniny. Čaj zvláště - jedna šálekka denně může postupně ztmavit zuby během pár měsíců.
  • Železné doplňky - pokud užíváš železo kvůli anémii, část železa se dostává do slin a reaguje s bakteriemi. To je nejčastější příčina u dětí a těhotných žen.
  • Špatná hygiena - pokud nečistíš zuby dvakrát denně nebo nečistíš mezizubní prostory, plak se hromadí a rychle ztuhne.
  • Tabák - nikotin a smůla se vážou k plaku a zvyšují riziko tmavého kameně, i když není přímo černý.
  • Některé léky - například chlorhexidin (používaný v ústních vodách proti zánětům) může způsobit tmavé skvrny, ale to je jiný typ zbarvení - ne kámen, ale povrchové ztmavení.

Nejčastěji se černý kámen objevuje u lidí, kteří kombinují dvě nebo tři z těchto věcí - třeba piji čaj a užívají železo a nečistí zuby pravidelně. To je ta nejnebezpečnější kombinace.

Ilustrace vzniku černého zubního kamene: plak, železo a bakterie vytvářejí tmavý nános.

Jak poznat, že je to černý zubní kámen a ne jen zbarvení?

Velká chyba je přehlížet černý kámen za jenom zbarvení. Zbarvení je na povrchu a může se odstranit čištěním. Kámen je tvrdý, vápencový a nejde ho odstranit kartáčkem ani pastou.

Zkus toto: vezmi si zrcátko a podívej se na zuby zblízka. Pokud je tam tmavá, hladká, tvrdá vrstva, která se neodstraní kartáčkem ani nití, a zároveň se vyskytuje u dásní nebo na vnitřní straně spodních zubů - pravděpodobně je to kámen. Pokud je to jen tmavá skvrna, která se dá očistit, je to zbarvení.

Ještě jednodušší způsob: pokud se ti po čištění zubů zůstane tmavá vrstva, která se neodstraní, a zároveň cítíš, že zuby jsou „hrubé“ nebo že dásně krvácejí, je to kámen. Zbarvení nezpůsobuje zánět dásní.

Proč je černý zubní kámen nebezpečný?

Není to jen o vzhledu. Černý zubní kámen je plný bakterií. Když se hromadí u dásní, podporuje zánět - gingivitidu. Pokud ho neodstraníš, může přejít na parodontitidu - zánět, který ničí kost kolem zubu. A to je nevratné. Když kost zanikne, zub se začne hýbat a nakonec vypadne.

Studie z roku 2023 z Univerzity v Hradci Králové ukázaly, že lidé s dlouhodobým černým zubním kamenem měli téměř dvakrát vyšší riziko ztráty zubu než ti, kteří ho měli odstraněný. Navíc se zjistilo, že tito lidé častěji trpí záněty dásní a mají horší kontrolu nad cukrovkou - protože zánět v ústech ovlivňuje celkový zánět v těle.

Nezapomeň: kámen nejen způsobuje ztrátu zubů. Bakterie z něj mohou vstupovat do krevního oběhu a přispívat k zánětům srdce, plic nebo dokonce k poškození mozku - zejména u starších lidí nebo těch s oslabenou imunitou.

Jak se černý zubní kámen léčí?

Tady je důležité: černý zubní kámen se nedá odstranit doma. Žádná pasta, žádný baking soda, žádná „domácí metoda“ to neodstraní. Je to tvrdý vápencový nános - jen zubní lékař ho může odstranit.

Proces je jednoduchý a nebolestivý. Lékař použije ultrazvukový přístroj - skalpel, který vydává vysoké frekvence. Ten rozpadne kámen na drobné částice, které se odplaví vodou. Někdy potřebuje i ruční nástroje, pokud je kámen velmi těžký nebo zhluklý. Po odstranění se zuby poléčí a vyleští, aby povrch nebyl hranatý a nezadržoval plak.

Proces trvá 20-40 minut a není nutné používat anestézii. Můžeš cítit jen lehké vibrační pocity - jako když ti někdo lehce mrská zuby. Některé lidi cítí citlivost po čištění, ale to je dočasné a zmizí za dva dny.

Nečekáj, až se kámen rozšíří. Pokud ho máš, dej se zkontrolovat do tří týdnů. Čím dříve ho odstraníš, tím méně poškození máš.

Ruka drží kartáček vedle černého čaje a železných doplňků, s přechodným obrazem kamene na zubech.

Jak předcházet černému zubnímu kameni?

Nejlepší léčba je předcházení. A to je jednoduché:

  • Čisti zuby dvakrát denně - alespoň dvě minuty, používej fluoridovou pastu. Nezapomeň na vnitřní stranu zubů - tam se kámen často tvoří.
  • Používej mezizubní kartáček nebo nit - alespoň jednou denně. Kámen vzniká nejčastěji tam, kde kartáček nedosáhne.
  • Odříkej si ústa po čaji, kávě nebo vínu - vypij vodu nebo si vypláchni ústa. To sníží kontakt tanninů s povrchem zubu.
  • Neužívej železné doplňky bez potřeby - pokud ti lékař neřekl, že máš anémii, neber železo jen proto, že „to je zdravé“.
  • Navštěvuj zubního lékaře každých 6-12 měsíců - i když nic nebolí. Lékař ti odstraní kámen, který jsi neviděl, a ukáže ti, kde se ti špatně čistí.

Pokud piješ čaj nebo kávu denně, zváž, jestli bys nemohl přejít na zelený čaj. Obsahuje méně tanninů a je méně agresivní vůči zubům. A pokud užíváš železo, zeptej se lékaře, jestli nemůžeš přejít na jiný typ doplňku - některé formy nezpůsobují tmavé zbarvení.

Co dělat, když máš černý kámen a nemáš peníze na lékaře?

Někdo si myslí, že když nemá peníze, musí čekat. To je nebezpečné. V České republice máš právo na jedno bezplatné zubní vyšetření ročně přes zdravotní pojištění. To zahrnuje kontrolu, rentgen a odstranění zubního kamene - včetně černého. Stačí se zapsat u svého zubního lékaře a říct, že chceš „preventivní prohlídku“.

Některé zubní ordinace nabízejí i slevy pro studenty, důchodce nebo rodiny s nízkým příjmem. Zeptej se. Nechávej si to na později - kámen se neztratí sám. A pokud ho neodstraníš, budeš platit za něco mnohem dražšího - ztrátu zubu, léčbu zánětu nebo dokonce operaci.

Co se stane, když černý kámen necháš být?

Necháš-li černý zubní kámen, postupně se rozšíří. Za 6 měsíců může pokrýt všechny spodní řezáky. Za rok začne dásně odtlačovat a vytvářet „místečka“ pod dásní, kde se hromadí bakterie. To je začátek parodontitidy.

Potom se začnou zuby hýbat. Můžeš cítit, že při kousnutí cítíš „přílišnou pohyblivost“. To je varovný signál. Když to ignoruješ, zub se začne vysouvat z dásně - a pak vypadne. Nebo ho musíš nechat vytrhnout. A pak budeš potřebovat implantát nebo most - což stojí tisíce korun.

A to je jen zubní část. Zánět způsobený kamenem zvyšuje hladinu C-reaktivního proteinu v krvi - což je známka celkového zánětu. A ten je spojen s rizikem infarktu, mrtvice a cukrovky.

Není to jen o zubech. Je to o celém těle.

Je černý zubní kámen nakažlivý?

Ne, černý zubní kámen není nakažlivý. Ale bakterie, které ho vytvářejí, se mohou přenášet - například při sdílení lžíce nebo nápojů. To neznamená, že ti někdo „předá“ kámen, ale může ti předat více bakterií, které zhoršují tvou hygii. Proto je důležité nejen odstranit kámen, ale také zlepšit svou denní péči.

Může černý zubní kámen zmizet sám?

Ne. Černý zubní kámen je tvrdý vápencový nános, který se neodstraní ani čištěním, ani pastou. Pokud ho necháš, zůstane tam a bude se zvětšovat. Můžeš si myslet, že zmizel, ale většinou jen pokryl jinou část zubu nebo se posunul pod dásně - kde je ještě nebezpečnější.

Může černý zubní kámen způsobit zápach z úst?

Ano. Černý kámen je hnízdem bakterií, které rozkládají potravu a vydávají pachové látky - jako siřičitý vodík. To je hlavní příčina zápachu z úst u lidí s nečištěným kamenem. Odstranění kamene často okamžitě zlepší dech - často i bez potřeby používat ústní vody.

Je černý zubní kámen častější u dětí?

Není častější, ale častěji ho přehlížejí. Děti často piji léky s železem, které způsobují tmavé zbarvení. Když se to neodstraní včas, může se přeměnit v kámen. Děti také často nečistí zuby dostatečně - a to je rizikový faktor. Je důležité, aby děti měly první prohlídku u zubního lékaře do věku 2 let a potom každých 6 měsíců.

Může černý zubní kámen ovlivnit výsledek zubního bílení?

Ano. Bílení funguje jen na povrchu zubu. Pokud máš pod ním kámen, bílení nebude účinné - zuby budou stále vypadat tmavě. Navíc, když se kámen odstraní po bílení, může být zub citlivější. Proto je vždy nejprve odstranit kámen - a až potom bílit. To je standardní postup u všech dobrých zubních ordinací.

Černý zubní kámen není normální. Není to jen „něco, co se objeví s věkem“. Je to příznak, že tvoje ústní hygiena potřebuje pozornost. A to není špatně - je to možnost se zlepšit. Stačí jedna návštěva u zubního lékaře, pár změn ve zvyku a zuby ti budou dlouho sloužit - čisté, zdravé a bez černých skvrn.