Zubní péče prosince 19, 2025

Jak na odvápnění zubu? Praktické kroky pro obnovu zubní skloviny

Martina Nováková 0 Komentáře

Test zdraví zubní skloviny

Tento test vám pomůže zjistit, jak je váš zubní povrch ochranný a co můžete udělat pro jeho obnovu. Odpovězte na následující otázky a získáte osobní doporučení.

Pamětě: Neexistuje jediný způsob, jak zjistit přesně stupeň odvápnění – vždy je třeba navštívit zubaře. Tento test slouží pouze jako orientační nástroj.

1. Kolikrát denně jíte nebo pijete sladké nebo kyselé věci?

2. Používáte zubní pastu s fluoridem (minimálně 1450 ppm)?

3. Měli jste někdy zuby citlivé na studené nebo horké?

4. Měli jste bílé skvrny na zubech?

5. Jste pravidelně (2× denně) čistíte zuby správnou technikou?

Výsledek

Osobní doporučení

Odvápnění zubu je první fáze, kdy zubní sklovina začíná ztrácet minerály - hlavně vápník a fosfát. Je to nevratný proces, který může vést k vzniku kazu, ale naštěstí je v počátečním stádiu zpětně proveditelný. Mnoho lidí si myslí, že když už je na zubech bílá skvrna nebo citlivost, je pozdě. To není pravda. Pokud začnete dělat správné věci hned teď, můžete zubní sklovinu obnovit - bez vrtání, bez plomby.

Co je odvápnění zubu a jak ho poznáte?

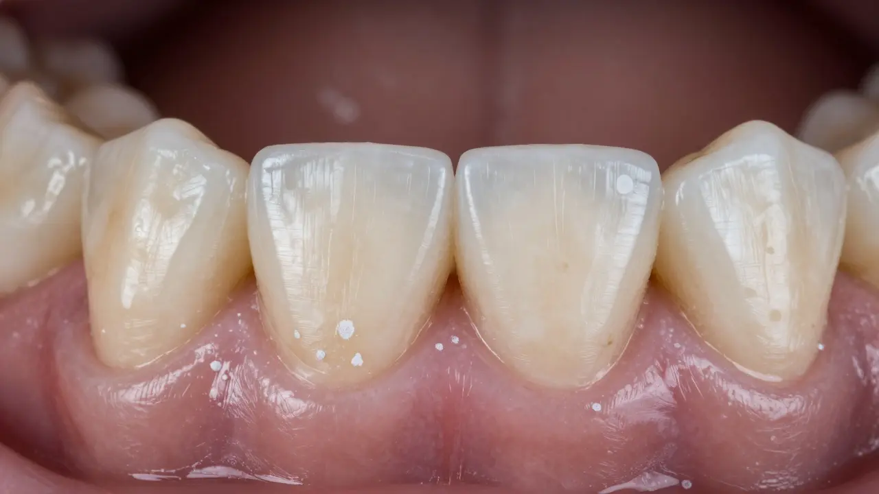
Odvápnění není kaz. Je to předkazový stav, kdy kyseliny z bakterií v plaku rozkládají minerály ve sklovině. Výsledkem je mírně porušená, matná plocha na zubu - často bílá, někdy lehce žlutavá. Tato skvrna se objevuje nejčastěji u zubů blízko dásní, na předních zubech nebo mezi zuby tam, kde se těžko čistí.

Nejčastější příznaky:

  • Bílé skvrny na zubech - nejsou to plomy, ale místa, kde sklovina ztratila minerály
  • Citlivost na studené, horké nebo sladké - zubní sklovina je tenčí a nervy jsou blíž
  • Nečisté zuby i po čištění - pocity, že zuby „nejsou hladké“
  • Zvýšená citlivost po čištění nebo bleachingu

Neznamená to, že máte kaz. Ale znamená to, že bez zásahu se kaz může objevit během několika měsíců.

Proč se zuby odvápnějí?

Největší viník je plak - hmotná vrstva bakterií, která se tvoří na zubech každý den. Tyto bakterie živí se cukry z jídel a vyrábějí kyseliny. Každýkrát, když sníte sladké nebo kyselé jídlo, kyseliny napadají sklovinu. Tělo se snaží opravit škodu - sliny obsahují vápník a fosfát, které se vrací zpět do skloviny. To se jmenuje remineralizace.

Problém je, že když jíte často (např. 5× denně), sliny nestíhají opravovat. Kyseliny převažují. A tak se odvápnění zhoršuje. Další faktory:

  • Piťe kyselé nápoje - limonády, energetické nápoje, citronová voda
  • Chybějící fluorid - voda v Českých Budějovicích má nízký obsah fluoridu
  • Špatná hygiena - čištění jen jednou denně nebo špatná technika
  • Suchá ústa - léky, stres nebo dýchání ústy způsobují méně slin
  • Bruxismus - škrábnutí zubů během spánku poškozuje sklovinu

Jak obnovit zubní sklovinu? 5 kroků, které opraví odvápnění

Remineralizace není magie. Je to chemický proces, který funguje, když mu dáte správné podmínky. Zde je co dělat:

  1. Používejte zubní pastu s fluoridem (minimálně 1450 ppm) - fluorid je klíčový. Vstřebává se do skloviny a tvoří fluorapatit - pevnější minerál než původní hydroxyapatit. Většina běžných past má jen 1000-1100 ppm. Hledejte ty s 1450 ppm, jako je Colgate Duraphat, Elmex Sensitive nebo Parodontax Fluoride. Nepřeříkejte si ji - používejte jen malou množství, ale čistěte 2× denně po dobu 2 minut.
  2. Nepláchněte si ústa po čištění - když si po zubní pastě pláchnete vodou, vypláchnete fluorid. Nechte si ho na zubech. Po čištění jen vyplivněte přebytek, ale nepláchněte. Můžete si za 30 minut vypít vodu, ale ne hned.
  3. Používejte fluoridový gel nebo náplast - pokud máte silné odvápnění, doporučují zubaři fluoridové gely (např. GC Tooth Mousse nebo Elmex Gelee). Aplikujte je na zuby 1× denně po večeři, než půjdete spát. Nepláchněte. Nejde o „lék“ - je to podpůrná terapie, která zvyšuje koncentraci fluoridu v oblasti odvápnění.
  4. Snížte frekvenci jídla a nápojů - nejde jen o to, co jíte, ale kolikrát. Pokud sníte 3× denně a piješ jen vodu, máš 3 kyselé útoky. Pokud sníš 7× denně (včetně bonbónů, ovoce, jogurtu, čaje s cukrem), máš 7 kyselých útoků. Každý útok trvá 20-30 minut. Většina lidí si neuvědomuje, že i zdravé jídlo jako banány nebo sušené ovoce je pro zuby nebezpečné. Jezte jen při hlavních jídelníčcích. Mezi nimi pije jen vodu.
  5. Udržujte sliny - pije vodu a vyhýbejte se suchoústosti - sliny jsou přirozenými opraváři zubů. Pokud máte suché ústa, zvyšte příjem vody. Vyhýbejte se alkoholu, kouření a léků, které suší ústa (např. některé antidepresivy). Pokud máte problém se suchoústostí, zvažte použití bezalkoholického ústního spreje s xylitol.
Průřez zubní skloviny s minerály, které se obnovují díky fluoridu a slinám.

Co nefunguje - běžné omyly

Na internetu najdete spoustu „zázračných“ řešení. Většina z nich je neúčinná nebo škodlivá.

  • Umyvání zubů s ocetem nebo citronem - kyselina v nich je silnější než kyselina v plaku. Způsobí ještě větší odvápnění.
  • Skleněná kartáček nebo baking soda - abrazivní. Může odstranit povrch skloviny, ne opravit ji. Nejsou vhodné pro odvápnění.
  • Čistění zubů jen jednou denně - příliš málo. Bakterie se množí každých 12 hodin.
  • Čekání, až se to samo „vylečí“ - bez zásahu se odvápnění zhoršuje. Neexistuje „přirozená“ léčba, která by nahradila fluorid a správnou hygienou.

Když se nezlepšíte - co dál?

Remineralizace trvá obvykle 3-6 měsíců. Pokud po 6 měsících stále vidíte bílé skvrny nebo máte citlivost, je čas jít k zubaři. Nejde o to, že jste selhali - jde o to, že potřebujete profesionální pomoc.

Zubař může:

  • Provést profesionální čištění - odstraní plak a kámen, které brání remineralizaci
  • Nanést sealant - plastovou vrstvu na zuby, která chrání
  • Nanést hydroxyapatitový gel - nová metoda, která doplňuje minerály přímo do skloviny
  • Doporučit noční štít - pokud škrábate zuby

Nejde o to, že potřebujete plomby. Většina odvápnění lze zastavit a obnovit - pokud začnete teď.

Osoba aplikuje fluoridový gel na zuby ve tmavé koupelně večer.

Co je v Českých Budějovicích jiného?

Voda v Českých Budějovicích má nízký obsah fluoridu - méně než 0,1 mg/l. To znamená, že vaše tělo nedostává fluorid z pitné vody, jako například v Německu nebo USA. Proto je důležité, abyste ho doplňovali jinak - přes zubní pastu, gely nebo náplasti. Pokud máte děti, doporučuji konzultovat s pediatrem nebo zubařem, zda potřebují fluoridové tablety - ale pouze pokud je voda opravdu chudá na fluorid.

Rekapitulace: Co dělat dnes?

  • Do zubní pasty vyberte tu s 1450 ppm fluoridu
  • Čistěte zuby 2× denně po 2 minuty - nepláchněte po čištění
  • Nejedte a nepijte kyselé nebo sladké věci mezi jídy
  • Pijte vodu - ne limonády, ne kávu s cukrem
  • Na noc aplikujte fluoridový gel, pokud máte viditelné bílé skvrny
  • Na zubaře jděte za 6 měsíců - ne když bolí

Od vás nevyžadujeme dokonalost. Jen konzistenci. Když budete dělat tyto pět věcí pravidelně, vaše zuby se začnou vracet k zdraví. Nejde o to, že zuby budou jako nové - ale že se přestanou rozpadat. A to je větší úspěch, než si většina lidí myslí.

Může odvápnění zubu zmizet úplně?

Ano, pokud je odvápnění v počáteční fázi - tedy jen bílá skvrna bez prohlubně. Při správné remineralizaci se sklovina obnoví až o 80-90 %. Bílá skvrna se může zmenšit nebo zmizet, ale zůstane lehce jiná struktura. Nevrátí se na 100 %, ale přestane být ohrožená. Pokud je už vzniklý malý dírek, už to není odvápnění, ale kaz - a ten vyžaduje plombu.

Je lepší fluoridová pasta nebo fluoridový gel?

Oba jsou důležité, ale jinak. Fluoridová pasta je denní základ - chrání celé ústní dutinu. Fluoridový gel je terapeutický nástroj - používá se 1× denně na konkrétní místa s odvápněním. Pokud máte jen mírné skvrny, stačí pasta. Pokud máte výrazné bílé skvrny nebo citlivost, kombinujte oba.

Může fluorid poškodit zuby?

Pouze při přehánění. Pokud dítě požere velké množství fluoridové pasty, může mít fluorózu - špatně zbarvenou sklovinu. U dospělých je to téměř nemožné. Používáte-li pastu ve správné dávce (velikost hrášku) a nepláchnete ji, neexistuje žádné riziko. Fluorid je bezpečný, když se používá podle pokynů.

Může odvápnění ovlivnit jen jeden zub?

Ano. Často se objevuje jen na jednom zubu - například na předním horním zubě, který je vystavený kyselinám z kyselého nápoje nebo z bruxismu. Ale pokud máte jednu skvrnu, je pravděpodobné, že na jiných zubech je také začínající odvápnění, jen ještě neviditelné. Proto je důležité ošetřit celou ústní dutinu.

Je dobré používat zubní nit pro odvápnění?

Zubní nit neodvápní zuby, ale pomůže jim zůstat zdravé. Odstraňuje plak mezi zuby, kde čištění kartáčkem nedosáhne. Pokud nečistíte mezi zuby, kyseliny tam zůstávají a odvápnění se rozšiřuje. Používejte nit denně - je to jedna z nejúčinnějších věcí, které můžete dělat kromě fluoridové pasty.