Zubní péče dubna 14, 2026

Gumičky na rovnátka: Kdy se začínají nosit a co o nich musíte vědět

Lenka Novotná 0 Komentáře

Kalkulátor dopadu disciplíny u gumiček

Kolik času získáte (nebo ztratíte)?

Zjistěte, jak zapomínání gumiček ovlivňuje váš konečný úsměv.

Výsledek analýzy:

💡 Tip z článku: Vymechání jednoho dne může znamenat až týden zdržení léčby. Gumičky nejsou jen o estetice, ale o funkčním skousu a ochraně vašich zubů před opotřebením.

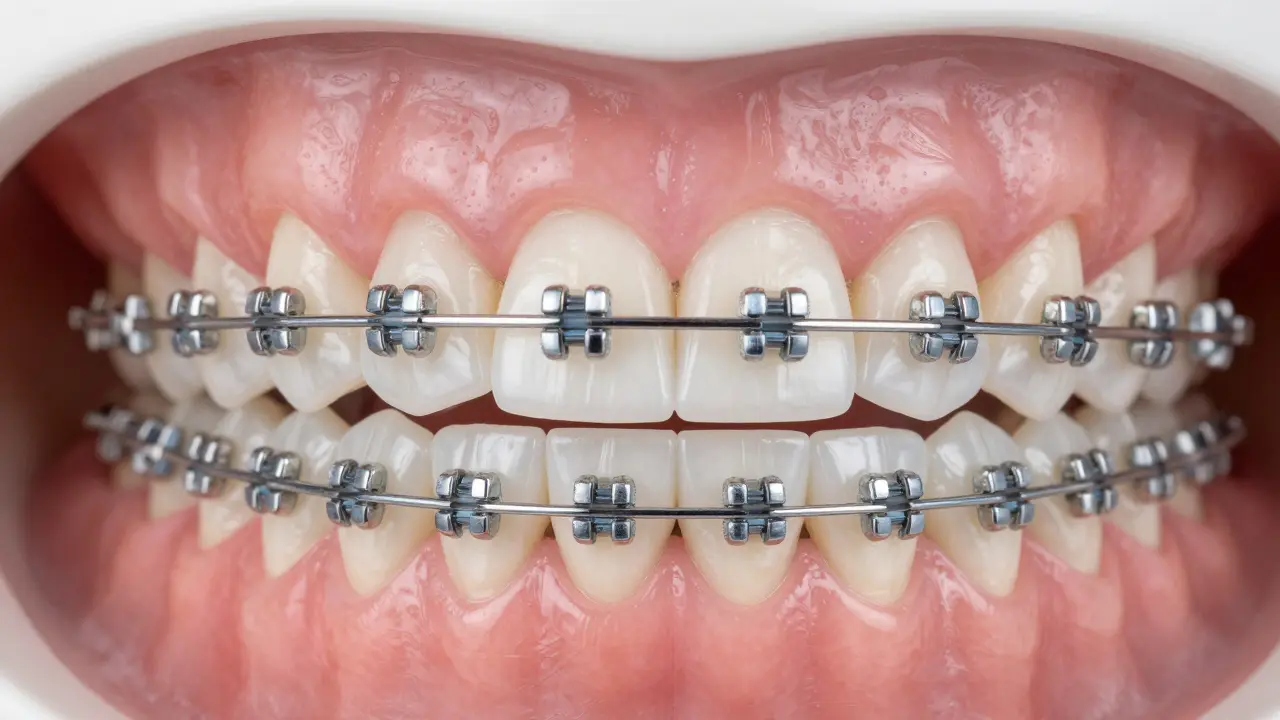
Mnoho lidí si představuje, že jakmile jim ortodontista nalepí zámečky, budou mít perfektní úsměv automaticky. Jenže realita je taková, že samotné dráty jen srovnají zuby v rámci jednoho oblouku. Abychom ale vyřešili např. příliš velký předkous nebo otevřený spoj, přijdou na řadu gumičky na rovnátka je elastické pomůcky z latexu nebo syntetických materiálů, které slouží k vyrovnání vztahu mezi horním a dolním čelistním obloukem. Bez nich byste sice měli rovné zuby, ale vaše čelisti by stále neseděly správně, což vede k problémech s kousáním nebo bolestem kloubů.

Hlavní body, které z článku vyberete:

  • Gumičky se dávají až v druhé fázi léčby, když jsou zuby už relativně rovné.
  • Slouží k zavření skousu a posunu čelistí, ne k rovnaní jednotlivých zubů.
  • Klíčem k úspěchu je disciplína v nošení - vynechání jednoho dne může znamenat týden zdržení léčby.
  • Správné nošení předchází budoucím problémům s opotřebením zubů.

Kdy přesně začíná éra gumiček?

Gumičky nejsou standardní součástí startu léčby. Většina pacientů je dostává až v momentě, kdy proběhla fáze tzv. zarovnání. V této první fázi se dráty soustředí na to, aby každý zub dostal své místo v řadě. Teprve když jsou zuby v oblouku „v linii“, může ortodontista začít pracovat s celkovým skouskem.

Typicky se s nimi setkáte v polovině nebo až v závěru léčby. Proč ne hned? Protože pokud byste gumičky nasadili na křivé zuby, vyvinuli by tlaky v nepředvídatelných směrech a mohli byste nechtěně vyklonit některé zuby mimo oblouk. Musíte tedy mít stabilní základ, než začnete tahat horní a dolní čelist k sobě.

Jak fungují a co vlastně hýbou?

Zatímco drát v ortodontickém aparátu působí lokálně na konkrétní zuby, gumičky vytvářejí kontinuální tah mezi horním a dolním chrupem. Působí jako malý motor, který neustále tlačí čelisty do požadované polohy.

Když gumičku zapnete z horního zámečku na dolní, vytváříte vektor síly. Tato síla nutí mandibulu (dolní čelist) posunout se dopředu nebo dozadu, nebo posouvá horní čelist, aby se správně přikrývala dolní. Je to proces, který vyžaduje trpělivost. Zuby se v tomto procesu pohybují mnohem pomaleji než při běžném rovnání, protože se hýbe celý systém.

Rozdíl mezi dráty a gumičkami v ortodoncii
Vlastnost Dráty (zámečky) Gumičky (elastics)
Primární cíl Rovnání zubů v řadě Korekce skousu a čelistí
Čas nasazení Hned na začátku Obvykle v druhé fázi
Způsobno dopC Fixní (mění je lékař) Výměnné (nasazuje pacient)
Klíč k úspěchu Pravidelné kontroly Přísná disciplína nošení

Proč jsou gumičky tak kritické pro výsledek?

Představte si to jako stavbu domu. Dráty jsou jako zdění stěn - musí být rovné. Gumičky jsou pak jako naladění dveří a oken, aby vše do sebe perfektně zapadlo. Pokud gumičky vynecháte nebo je budete nosit jen „občas“, vznikne situace, kdy máte sice krásně bílé a rovné zuby, ale když zavřete ústa, horní zuby přesahují dolní o příliš mnoho milimetrů.

Tento stav není jen estetický problém. Špatný skous je přímou cestou k bruxismu (Tupení zubů) a předčasnému opotřebení skloviny. Pokud zuby nesedí správně, tlaky se rozloží nerovnoměrně, což může vést k praskání výplní nebo dokonce k recesi dásní. Gumičky tedy vlastně chrání vaše zuby před budoucím zničenímu po rovnátkách, protože zajišťují funkční stabilitu.

3D vizualizace tlaku a směru tahu gumiček mezi horní a dolní čelistí.

Praktický návod: Jak s nimi přežít a je správně používat

Největší výzvou není bolest, ale psychika. Gumičky jsou nepohodlné, mluví se s nimi hůře a s každou novou várkou cítíte tlak. Tady je pár tipů, jak to zvládnout:

  1. Vyměňte je včas: Gumičky ztrácejí svou pružnost. Pokud je nosíte 24 hodin, musíte je měnit každé ráno nebo večer (podle pokynů lékaře). Stará gumička už netahá, jen visí, a léčba stojí v místě.
  2. Mějte záložku: Gumička se může přetrhnout v nejméně vhodnou chvíli - třeba na rande nebo u zkoušky. Vždy mějte v kapsě nebo peněžence náhradní balíček.
  3. Nezkoušejte „triky“: Někteří lidé si myslí, že když budou nosit dvě gumičky najednou, bude to jít dvakrát rychleji. To je fatální chyba. Příliš silný tlak může způsobit resorci kořenů zubů, což znamená, že zuby začnou v dásních „zkracovat“ a mohou vypadnout.
  4. Správné zapnutí: Ortodontista vám ukáže přesné háčky. Pokud gumičku zapnete o jeden háček vedle, posunete zuby úplně jiným směrem, než bylo plánováno.

Co když gumičky odmítáte nosit?

Je to nejčastější příčina prodloužení léčby. Ortodontisté často vyprávějí historky o pacientech, kterým měla být léčba ukončena za 2 roky, ale protože nenosili gumičky, trvala 4 roky. Proč? Protože při každé kontrole lékař vidí, že skous se nepohnul z místa.

Pokud gumičky opomenete, vaše čelist se během několika hodin začne vracet do své původní, špatné polohy. V podstatě bojujete s genetickou pamětí vašeho těla. Disciplína v tomto období rozhoduje o tom, zda budete po sundání rovnátek potřebovat jen jednoduchý retencní drát, nebo zda se vám zuby začnou znovu kroutit.

Ruka drží náhradní balení ortodontických gumiček v koupelně.

Vztah mezi gumičkami a stabilitou po léčbě

Mnoho lidí se po sundání aparátu stěžuje, že mají „zničené zuby“ nebo že se jim zuby hýbou. Často je to paradoxně spojeno s nedokončenou fází s gumičkami. Pokud nebyl skous správně uzavřen, zuby nejsou v tzv. okluze, tedy v optimálním kontaktu.

Zuby, které do sebe nepřirozeně narážejí, jsou vystaveny mnohem vyšším silám při žvýkání. To vede k mikroprasklinám v ozubovině. Správně dopracovaná fáze s elastiky zajistí, že zuby se budou vzájemně podpírat, nikoliv ničit. Je to základní pojistka pro dlouhověkost vašeho úsměvu.

Bolí gumičky na rovnátka?

Prvních pár dní po nasazení mohou být zuby citlivé a pocítíte tlak, zejména v oblasti dCvů, kde jsou háčky. Je to však přechodný stav. Jakmile si tkáně a vazy zvyknou na nový tlak, bolest mizí. Pokud je bolest nesnesitelná, je nutné kontaktovat ortodontistu, zda není gumička nasazena špatně.

Můžu s gumičkami jíst?

Většina lékařů doporučuje gumičky před jídlem vyndat. Kresání jídla kolem gumiček vytváří hnízda pro bakterie a zubní plak, což zvyšuje riziko zánětu dásní nebo kazů. Po jídle si zuby vyčistěte a gumičky znovu nasaďte. Pokud je však nosíte v režimu 24/7, vynechání času na jídlo je v pořádku, pokud to nezpůsobuje problémy s mluvením.

Co když se mi gumička přetrhne?

Nikdy nepanikařte. Je to běžná věc. Jednoduše ji vyhoďte a nasaďte novou z náhradního balení. Důležité je, abyste nenechávali stranu bez gumičky příliš dlouho, protože by se mohl vytvořit asymetrický tlak na opačné straně čelistí.

Jak poznámI, že gumičky fungují?

Změny jsou velmi pomalé. Neuvidíte je ze dne na den v zrcadle. Nejlepším indikátorem je pocit při kousání - pocítíte, že se horní a dolní zuby začínají setkávat v jiných bodech. Přesný postup kontroly provádí ortodontista pomocí speciálních měření a rentgenů.

Co když zapomenu gumičky nosit jeden víkend?

Stačí jeden víkend a vaše čelist se může začít vracet zpět. To neznamená, že vše je ztracené, ale pravděpodobně tím prodloužíte svou léčbu o několik týdnů. Ortodoncie je o kontinuitě; každé zanedbání je krokem zpět.

Další kroky a řešení problémů

Pokud cítíte, že gumičky způsobují příliš velké množství plivů nebo vám překážejí při mluvení, zkuste si zvyknout několik dní doma před zrcadlem. Pokud ale zaznamenáte, že se vám začínají uvolňovat zámečky (bracketky) kvůli tlaku gumiček, okamžitě volete svého lékaře. Tlak elastiků je totiž silný a pokud není zámeček perfektně přilepen, může ho gumička prostě „utrhnout“.

Pro ty, kteří mají s disciplínou problém, doporučujeme nastavit si připomínky do mobilu na každou výměnu. Pamatujte, že tato fáze je tou nejvíce „pracnou“ pro pacienta, ale zároveň tou nejdůležitější pro zdraví vašich zubů na dalších padesát let.